Вот так выглядит наше тело
Человеческое тело — очень сложный механизм, который функционирует очень слаженно. Ежесекундно в нашем теле протекает множество процессов, некоторые из которых до сих пор ставят ученых в тупик. В этом посте вы увидите несколько интереснейших снимков и гифок, которые помогут вам поближе познакомиться с телом человека.
Компьютерная томография женщины, находящейся на 37-й неделе беременности
МРТ-снимок здорового головного мозга человека

Грудные импланты, заснятые при помощи аппарата МРТ

Рентгеновский снимок человеческой кисти с полидактилией

МРТ аорты со специальным красителем

Снимок руки ребенка, сделанный рентгеном. На месте некоторых костей до определенного возраста расположены хрящи

Артерии и вены

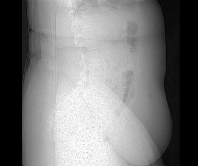
Рентгеновский снимок человека с ожирением. Обратите внимание, что кости плохо видны из-за избыточного количества жировой ткани

Рентгеновский снимок руки взрослого человека и ребенка

Сердцебиение. Снято при помощи МРТ

На левой ноге можно увидеть, как выглядит закупорка сосудов

Опухоль головного мозга

Томография сосудов и черепа

Вот так выглядит деформация сосудов. Изображение получено благодаря компьютерной томографии

Этот снимок сделан после операции по восстановлению черепа. Человек пострадал в ДТП

Вот так выглядит замена молочных зубов коренными у 10-летнего ребенка
Компьютерная томография женщины, находящейся на 37-й неделе беременности

МРТ-снимок здорового головного мозга человека

Грудные импланты, заснятые при помощи аппарата МРТ

Рентгеновский снимок человеческой кисти с полидактилией

МРТ аорты со специальным красителем

Снимок руки ребенка, сделанный рентгеном. На месте некоторых костей до определенного возраста расположены хрящи

Артерии и вены

Рентгеновский снимок человека с ожирением. Обратите внимание, что кости плохо видны из-за избыточного количества жировой ткани

Рентгеновский снимок руки взрослого человека и ребенка

Сердцебиение. Снято при помощи МРТ

На левой ноге можно увидеть, как выглядит закупорка сосудов

Опухоль головного мозга

Томография сосудов и черепа

Вот так выглядит деформация сосудов. Изображение получено благодаря компьютерной томографии

Этот снимок сделан после операции по восстановлению черепа. Человек пострадал в ДТП

Вот так выглядит замена молочных зубов коренными у 10-летнего ребенка
Только зарегистрированные и авторизованные пользователи могут оставлять комментарии.
+1
Надо признать, в собранном состоянии и живьем люди выглядят гораздо симпатичнее, чем на этих картинках. Не все, конечно.
- ↓
0
Будущее Человечество – это идеальные пары: Женщины – Богини и Мужчины – Боги: они живые суперкомпьютеры и лазеры, независимо от цвета кожи и социального положения. Каждые состоят из 360 х 10 ст.9 живых клеток – живых душ, вес -75 кг, рост 180 см. Возраст — 25 лет, не стареют – вечно молодые. При этом каждая клетка – живая душа есть бриллиантовый куб, длина размера = 10 ст.-10 = 1мурад. Каждые идеальные интеллекты состоят только из своих клеток – своих душ, нет чужих клеток – чужих душ. Тогда каждая клетка – каждая душа есть данный идеальный интеллект, т. е. часть равна целому – нет приближенные (дробные) числа. Каждому присвоится 30 – разрядные коды – номера, при этом сумма кодов — номеров пар равна 30 девятки. Например, Женщина – Богиня имеет код – номер 30 нулей, то Мужчина – Бог имеет код – номер 30 девятки. Если Женщина – Богиня имеет код – номер 30 двойки, то Мужчина – Бог имеет код – номер 30 семерки и т.д. Каждые пары единственные экземпляры и позволить, зная одну клетку – души любого человека (предка и сейчас живущего) можно восстановить (сборка рубика) в идеальном виде. Значит, целые числа разделяются на женские — четные и мужские — нечетные. Значит, каждое действия предков и сейчас живущих фиксируются в голове – в компьютере с 2-я видеокамерами, чего всегда восстанавливаются. Посмотрев каждый о себе фильмов, исправят свои ошибки. Раны победителей зарастают быстрее – успех любого лечения зависит от жажды жизни – забудутся любые грехи. В нашем организме все задумано, что он способен сам себя исцелять.
- ↓
0
Каждый кг лишнего веса — 3 км капилляров!
- ↓

