Рентгеновские снимки, которые откроют вам мир с неожиданной стороны
Рентген помогает увидеть окружающую реальность с неожиданной стороны — и это потрясающе!
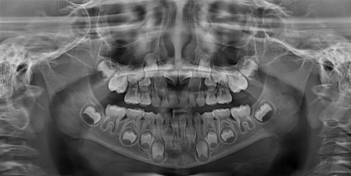
«У меня клейдокраниальный дизостоз, или, если проще, у меня в челюсти много лишних „запасных“ зубов»
Букет цветов на рентгене

Рентгеновский снимок беременной собаки

Птица киви готовится снести яйцо

Рентгеновский снимок ската-хвостокола

Акула-молот на рентгене

Рентгеновский снимок египетского саркофага с мумией кошки внутри

Рентген портрета Карла II Испанского показал, что он написан поверх первой версии, которую ходожник создал, когда король был несколькими годами младше

Ревматоидный артрит

Рентгеновский снимок беременной кошки

Так рентген помогает обнаружить контрабанду,

«Дочка попросила, чтобы свинка Пеппа пошла на рентген вместе с ней»

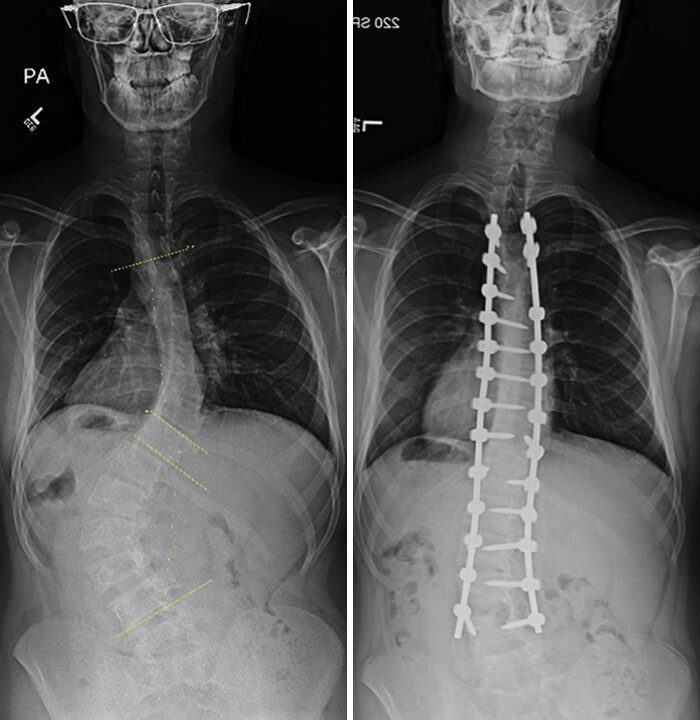
Операция по поводу искривления позвоночника: до и после

«Так выглядит опухоль почки у змеи»

Рентген женской стопы на шпильке

Рентген морского конька

Контейнер с недоразвившимися костными клетками и стволовыми клетками, вставленный в шею пациента для регенерации позвоночника

Конкурс «Мисс идеальная осанка» в Чикаго, 1956 год. По условиям конкурса, участницы предъявляли свои рентгеновские снимки

«Вчера у дантиста делал панорамный снимок зубов. Забыл снять очки»

Рентген кошки со сколиозом, который сделал ее шарообразной

«Вот рентгеновский снимок моей металлической руки»

Китаец целый год проходил с ложкой в пищеводе. Удивительно, но ему это не доставляло неудобств

«С нижними зубами мудрости мне не повезло»

Рентгеновский снимок фламинго

«Внутренности моей кошки на рентгене похожи на изображение Санты в санях»

«Ел мюсли. Вывихнул челюсть»

«Чтобы девочка не боялась, я сначала сделал рентген ее мягкой игрушке — лисе»

Беременная самка питона

Нога Николы Теслы в ботинке: рентгеновский снимок, сделанный им самим на аппарате собственной конструкции в 1896 году

Лапа тигра

Лунные ботинки Нила Армстронга, снятые на рентгене перед вылетом, 7 июля 1969 года

Рентгеновский снимок светодиодной лампы

Кукла на рентгене выглядит зловеще

Рентгеновский снимок растения, использованный для оформления госпитального коридора

«Я дантист, но рентгеновские снимки детей 6-12 лет меня немного пугают до сих пор»
«У меня клейдокраниальный дизостоз, или, если проще, у меня в челюсти много лишних „запасных“ зубов»

Букет цветов на рентгене

Рентгеновский снимок беременной собаки

Птица киви готовится снести яйцо

Рентгеновский снимок ската-хвостокола

Акула-молот на рентгене

Рентгеновский снимок египетского саркофага с мумией кошки внутри

Рентген портрета Карла II Испанского показал, что он написан поверх первой версии, которую ходожник создал, когда король был несколькими годами младше

Ревматоидный артрит

Рентгеновский снимок беременной кошки

Так рентген помогает обнаружить контрабанду,

«Дочка попросила, чтобы свинка Пеппа пошла на рентген вместе с ней»

Операция по поводу искривления позвоночника: до и после

«Так выглядит опухоль почки у змеи»

Рентген женской стопы на шпильке

Рентген морского конька

Контейнер с недоразвившимися костными клетками и стволовыми клетками, вставленный в шею пациента для регенерации позвоночника

Конкурс «Мисс идеальная осанка» в Чикаго, 1956 год. По условиям конкурса, участницы предъявляли свои рентгеновские снимки

«Вчера у дантиста делал панорамный снимок зубов. Забыл снять очки»

Рентген кошки со сколиозом, который сделал ее шарообразной

«Вот рентгеновский снимок моей металлической руки»

Китаец целый год проходил с ложкой в пищеводе. Удивительно, но ему это не доставляло неудобств

«С нижними зубами мудрости мне не повезло»

Рентгеновский снимок фламинго

«Внутренности моей кошки на рентгене похожи на изображение Санты в санях»

«Ел мюсли. Вывихнул челюсть»

«Чтобы девочка не боялась, я сначала сделал рентген ее мягкой игрушке — лисе»

Беременная самка питона

Нога Николы Теслы в ботинке: рентгеновский снимок, сделанный им самим на аппарате собственной конструкции в 1896 году

Лапа тигра

Лунные ботинки Нила Армстронга, снятые на рентгене перед вылетом, 7 июля 1969 года

Рентгеновский снимок светодиодной лампы

Кукла на рентгене выглядит зловеще

Рентгеновский снимок растения, использованный для оформления госпитального коридора

«Я дантист, но рентгеновские снимки детей 6-12 лет меня немного пугают до сих пор»
Только зарегистрированные и авторизованные пользователи могут оставлять комментарии.
0
Зубы!
- ↓
0
!!!!!+
- ↓
0
Кукла
- ↓
-4
Оч интересно! Благодарю, Светочка ***
- ↓

