20 офигенных снимков, которые надо увидеть хотя бы раз в жизни!
Вам может казаться, что вас уже ничем не удивить и вы уже успели все повидать. Но это не так! Взгляните на эти снимки и откройте для себя нечто новое.
Видели когда-нибудь квадратный ряд зубов?
Ботинки, которые носили более 1800 лет назад

По всей видимости, он был в маске

Бабочка мёртвая голова, или бражник мёртвая голова
Коровы 50 лет облизывали это столб – просто от скуки

Шлем римского гладиатора, который жил в 1 веке нашей эры, найденный в Хоукедоне

Барселона, архитектура Антони Гауди

Ботинки, которые носил Наполеон Бонапарт. Их сделал Жак на улице Монмартр

Гайка, закрученная на болте, вид в разрезе

Протез викторианской руки, Европа, 1850-1910 гг

Самое старое римское вино 4 века нашей эры. Эта 1,5-литровая бутылка была найдена в могиле римского дворянина в современной Германии

Знаете, что это? Молоко, которое кипятили 4 часа подряд до полного исчезновения жидкости!

На экране лампового кинескопа отпечатался рисунок игры в Pac-Man

Масло должно оставаться жидким, а не превращаться в грязь. Поэтому его и надо менять почаще.

Старейший протез в мире. Деревянный палец, которому более 3 тыс лет

Скульптура гавайского бога войны «Kūka», ему поклонялись в 18 веке

Сабо, который носили в римском лагере, чтобы не обжечься об горячий пол в бане

Типичное орудие 17 века во время гражданской войны в Англии

Этому сапогу скифской женщины 2300 лет, он сохранился в мерзлой земле Алтая

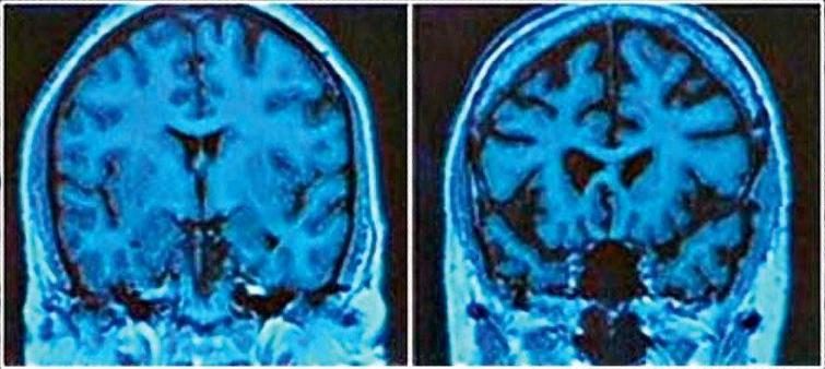
Слева — нормальный мозг 43-летнего человека, справа — мозг 43-летнего алкоголика
Видели когда-нибудь квадратный ряд зубов?

Ботинки, которые носили более 1800 лет назад

По всей видимости, он был в маске

Бабочка мёртвая голова, или бражник мёртвая голова

Коровы 50 лет облизывали это столб – просто от скуки

Шлем римского гладиатора, который жил в 1 веке нашей эры, найденный в Хоукедоне

Барселона, архитектура Антони Гауди

Ботинки, которые носил Наполеон Бонапарт. Их сделал Жак на улице Монмартр

Гайка, закрученная на болте, вид в разрезе

Протез викторианской руки, Европа, 1850-1910 гг

Самое старое римское вино 4 века нашей эры. Эта 1,5-литровая бутылка была найдена в могиле римского дворянина в современной Германии

Знаете, что это? Молоко, которое кипятили 4 часа подряд до полного исчезновения жидкости!

На экране лампового кинескопа отпечатался рисунок игры в Pac-Man

Масло должно оставаться жидким, а не превращаться в грязь. Поэтому его и надо менять почаще.

Старейший протез в мире. Деревянный палец, которому более 3 тыс лет

Скульптура гавайского бога войны «Kūka», ему поклонялись в 18 веке

Сабо, который носили в римском лагере, чтобы не обжечься об горячий пол в бане

Типичное орудие 17 века во время гражданской войны в Англии

Этому сапогу скифской женщины 2300 лет, он сохранился в мерзлой земле Алтая

Слева — нормальный мозг 43-летнего человека, справа — мозг 43-летнего алкоголика
Только зарегистрированные и авторизованные пользователи могут оставлять комментарии.
+2
И вам лдоброй пьятнисы, Светочка ***
- ↓
+1
спосыба!
- ↑
- ↓
+3
Видно по буквам, что пятница уже удалась у Вас)))))
- ↑
- ↓
-1
у алкоголика есть мозг??? вот это новость!)))
- ↓
+1
Джонни Депп, Мел Гибсон, Михаил Ефремов, Уинстон Черчиль, эдгар По, Петр Первый, Лариса Гузеева, Дрю Бэрримор, Микки Рурк, Гарик Сукачёв, Григорий Лепс, Чарли Шин, Дана Борисова…
Тысячи их, алкоголиков… А ЧЕГО ДОБИЛСЯ ТЫ??? ;)
- ↑
- ↓
+3
Интересно, попробовал ли кто-нибудь вино из древней могилы?…
- ↓
+2
Зубы жесть
- ↓
+5
Какая раньше обувь была качественная.Современная через 2 года выглядит, как первые ботинки!
- ↓
+1
Это из погребений достали. Т.е. «пробег» у нее нулевой. ;)
- ↑
- ↓
+2
Зато какой «пролёж»))))
- ↑
- ↓
+2
Какие же это ботинки наполеоновские? Это ж сапоги, а точнее ботфорты:))
- ↓
+5
Поверь — это ботинки. Ботфорты были по пояс
- ↑
- ↓

