Рентгеновские фотографии, от которых просто невозможно оторвать глаз
8 ноября 1895 года физик Вильгельм Рентген стал первым человеком, наблюдавшим рентгеновские лучи. Это стало важным научным прорывом, который принес пользу многим областям науки, особенно медицине, сделав невидимое видимым. И сегодня для врачей рентгеновские снимки — важный диагностический инструмент. Но и обычные люди могут увидеть на них массу интересного.
«У меня редкое заболевание — ключично-черепная дисплазия. Поэтому у меня много лишних зубов»
Рентгеновский снимок беременной собаки

Рентгеновские снимки растений на стене рентгенкабинета в больнице

«Мой сосед по комнате учится на радиолога, и сегодня они делали рентген цветов»

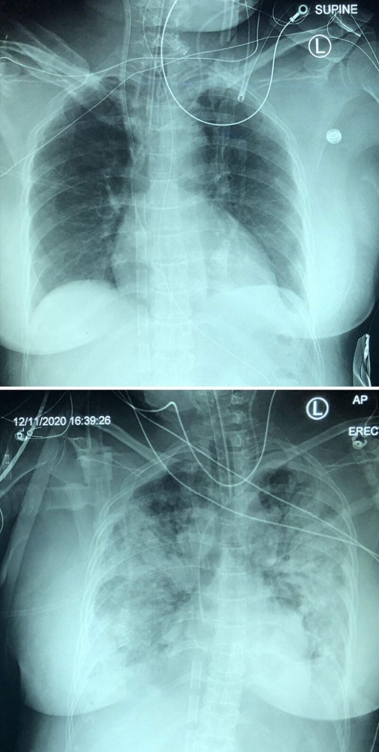
Развитие ковидной пневмонии в течение 5 дней

Рентгеновский снимок акулы-молота

Рентгеновский снимок птицы киви, готовящейся снести яйцо

Рентгеновский снимок ската

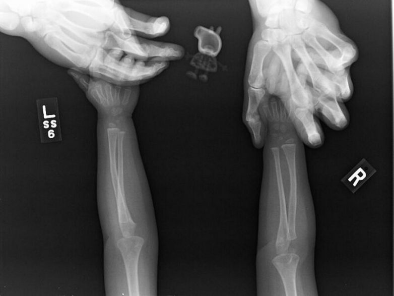
Маленькая девочка попросила врача, чтобы свинке Пеппе сделали рентген вместе с ней

Рентгеновские снимки рта детей в возрасте от 6 до 12 лет с их двойным комплектом зубов до сих пор поражают меня, даже после того, как я проработал стоматологом более 10 лет

Рентгеновский снимок египетского саркофага демонстрирует мумию кошки внутри

Рентгеновские снимки портрета молодого Карла II Испанского показали, что художник закрасил старую версию портрета Карла, на котором он был моложе.

Хирургическое исправление сколиоза: до и после

Рентгенограмма морского конька

Тяжелый случай ревматоидного артрита на рентгене

«Моя жена — балерина. Так выглядит на рентгене ее стопа, когда она стоит на пуантах»

Если собака начинает двигаться, когда ей делают рентген, — получается портрет Анубиса

Рентген стопы женщины на шпильках

У этой змеи — опухоль почки. Она отчетливо видна на рентгене. Снимком поделился ветеринар, который будет делать змее операцию

Так с помощью рентгена обнаруживают контрабанду в грузовых фурах. После сообщения оператора грузовик будет подвергнут тщательному досмотру

Рентгеновский снимок беременной кошки

«На снимке виден мой нейростимулятор и его провода, которые идут к точке в мозге, ответственной за возникновение у меня эпилептических припадков»
«У меня редкое заболевание — ключично-черепная дисплазия. Поэтому у меня много лишних зубов»

Рентгеновский снимок беременной собаки

Рентгеновские снимки растений на стене рентгенкабинета в больнице

«Мой сосед по комнате учится на радиолога, и сегодня они делали рентген цветов»

Развитие ковидной пневмонии в течение 5 дней

Рентгеновский снимок акулы-молота

Рентгеновский снимок птицы киви, готовящейся снести яйцо

Рентгеновский снимок ската

Маленькая девочка попросила врача, чтобы свинке Пеппе сделали рентген вместе с ней

Рентгеновские снимки рта детей в возрасте от 6 до 12 лет с их двойным комплектом зубов до сих пор поражают меня, даже после того, как я проработал стоматологом более 10 лет

Рентгеновский снимок египетского саркофага демонстрирует мумию кошки внутри

Рентгеновские снимки портрета молодого Карла II Испанского показали, что художник закрасил старую версию портрета Карла, на котором он был моложе.

Хирургическое исправление сколиоза: до и после

Рентгенограмма морского конька

Тяжелый случай ревматоидного артрита на рентгене

«Моя жена — балерина. Так выглядит на рентгене ее стопа, когда она стоит на пуантах»

Если собака начинает двигаться, когда ей делают рентген, — получается портрет Анубиса

Рентген стопы женщины на шпильках

У этой змеи — опухоль почки. Она отчетливо видна на рентгене. Снимком поделился ветеринар, который будет делать змее операцию

Так с помощью рентгена обнаруживают контрабанду в грузовых фурах. После сообщения оператора грузовик будет подвергнут тщательному досмотру

Рентгеновский снимок беременной кошки

«На снимке виден мой нейростимулятор и его провода, которые идут к точке в мозге, ответственной за возникновение у меня эпилептических припадков»
Только зарегистрированные и авторизованные пользователи могут оставлять комментарии.
0
Прикольно
- ↓
0
Акула-молот напоминает суровую женщину-администратора)))
- ↓

